Placerville Newswire
  • Crime
  • Culture
No Result
View All Result
Get Started
Placerville NewsWire
  • Crime
  • Culture
No Result
View All Result
Placerville NewsWire
No Result
View All Result

Why My Right Temporal Lobe Was Removed: Epilepsy, Mental Health, and the Road to Recovery

After 18 Months of Recovery, the Hidden Mental Health Risks of Temporal Lobe Epilepsy Come Into Focus

Cris Alarcon by Cris Alarcon
January 24, 2026
in Uncategorized
411 31
0
Why My Right Temporal Lobe Was Removed: Epilepsy, Mental Health, and the Road to Recovery

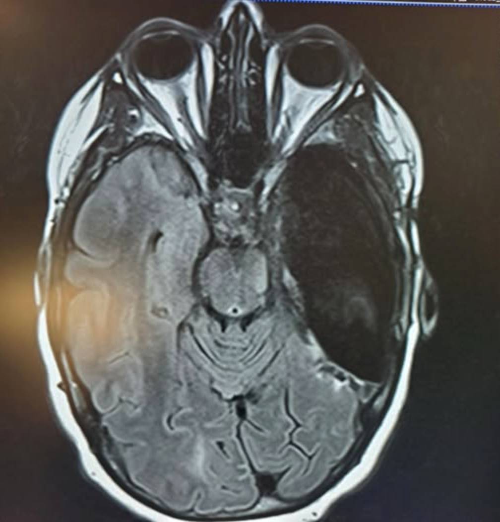
Right Temporal Lobectomy

Share on FacebookShare on TwitterWhatsappReddit

You might also like

Dale Edwin Richardson, Army Veteran With Deep Placerville Roots, Dies at 86

Dale Edwin Richardson, Army Veteran With Deep Placerville Roots, Dies at 86

January 13, 2026
ICYMI – The Life and Legacy of Elliot Scott Cohen: A Community’s Quiet Hero

ICYMI – The Life and Legacy of Elliot Scott Cohen: A Community’s Quiet Hero

November 29, 2025

At 50 I was taken to my knees by epilepsy.  I have had three invasive brain surgeries since the. 18 months ago I had my Right Temporal Lobe removed, a Lobectomy.  I am feeling much better as I recover and my brain rewires itself.  Why did I have it removed?

  • Personality Changes: Long-term epilepsy, especially originating in the temporal lobe, can sometimes lead to shifts in personality, irritability, or aggression.
  • Cognitive Decline: Severe or uncontrolled seizures can lead to permanent changes in brain function, affecting memory, attention, and executive functions like planning and organization. 
Causes of These Issues
The link between epilepsy and mental health is multifactorial, involving: 
  • Neurological Factors: Seizure activity often affects brain regions responsible for emotions, such as the temporal lobe and limbic system.
  • Psychosocial Stress: The social stigma, loss of independence (e.g., inability to drive), and constant fear of a public seizure contribute to isolation and emotional distress.
  • Medication Side Effects: Some anti-seizure medications (ASMs) can trigger or worsen mood changes, irritability, and suicidal thoughts as a side effect. 
What treatments help with depression and anxiety in people with epilepsy?
What types of seizures carry a higher risk of psychosis?
What are the different classifications of epilepsy based on seizure type?

  • Psychiatric Comorbidities in People With Epilepsy – PMC – NIH

    Abstract * Purpose of Review. To review the latest evidence concerning the epidemiology, clinical implications, and management of …

    National Institutes of Health (NIH) | (.gov)
  • Epilepsy and Mental Health Explained

    The other evidence of the close relationship between mental health and epilepsy is that people who have a history of mood disorder…

  • Childhood Epilepsy: Mental Health and Behavior

    Related Pages. … Mental health and behavioral problems are among the many issues that can affect children with epilepsy. As with…

What types of seizures carry a higher risk of psychosis?
While various types of epilepsy can lead to psychiatric complications, specific seizure patterns and locations are linked to a significantly higher risk of psychosis. Research in 2024 and 2025 indicates that the risk of psychosis in individuals with epilepsy is roughly

8 times higher than in the general population. 

The seizure types and conditions with the highest risk include:
1. Temporal Lobe Epilepsy (TLE) 
Temporal Lobe Epilepsy is the form of epilepsy most strongly associated with psychosis. 
  • Risk Level: Psychotic disorders affect roughly 7% to 11% of those with TLE, compared to about 3% to 5% for other seizure types.
  • Location: Seizures originating in the mesial temporal lobe (deep structures like the hippocampus and amygdala) are particularly high-risk due to their role in regulating emotion and perception.
  • Symptoms: This can manifest as ictal psychosis (during a seizure) with sudden hallucinations or interictal psychosis (between seizures) resembling chronic schizophrenia. 
2. Seizure Clusters and Secondary Generalization
The frequency and intensity of seizures directly impact psychosis risk. 
  • Postictal Psychosis (PIP): This most commonly occurs following a cluster of seizures or a secondarily generalized tonic-clonic seizure (where a focal seizure spreads to the whole brain).
  • Lucid Interval: A unique feature of PIP is a “lucid interval” of 12 to 72 hours where the person appears normal before suddenly developing acute delusions or paranoia. 
4. Refractory (Drug-Resistant) Epilepsy 
Individuals whose seizures are poorly controlled despite multiple medications are at higher risk. Long-term, active disease (often 15+ years) is a major risk factor for developing chronic “schizophrenia-like” psychosis. 
5. Forced Normalization (Alternative Psychosis)
In a paradoxical phenomenon known as forced normalization, some patients develop acute psychosis exactly when their seizures become fully controlled. 
  • This can occur after a sudden change in medication or successful epilepsy surgery.
  • It is theorized that the brain may require a “balance” of electrical activity, and suppressing it too abruptly can trigger psychiatric symptoms. 
Summary of Risk Factors (2025-2026 Data)
Factor  Associated Risk Detail
Origin Temporal lobe (especially left-sided or bilateral)
Seizure Type Focal impaired awareness and secondarily generalized
Frequency Clusters of multiple seizures within a short period
Structural Hippocampal sclerosis or brain lesions (tumors, hamartomas)
History Early age of onset and history of status epilepticus
Cris Alarcon

Cris Alarcon

Former Member: Executive Board of Directors, Treasurer, Boys & Girl Club of El Dorado County Western Slope. - Former Member: Board of Directors, Treasurer, Food Bank of El Dorado County. - Opening Team Dealer at Red Hawk Casino - Retried EDC Elections Department Inspector. - Chairman of El Dorado County Charter Review Committee, Youngest Charter Member of the Hangtown Kennel Club. - Political Strategist and Campaign Manager.

Related Stories

Dale Edwin Richardson, Army Veteran With Deep Placerville Roots, Dies at 86

Dale Edwin Richardson, Army Veteran With Deep Placerville Roots, Dies at 86

by Cris Alarcon
January 13, 2026

Born in Pacific House and married in Placerville, Dale Richardson’s life carried him from El Dorado County to Wyoming, leaving...

ICYMI – The Life and Legacy of Elliot Scott Cohen: A Community’s Quiet Hero

ICYMI – The Life and Legacy of Elliot Scott Cohen: A Community’s Quiet Hero

by Cris Alarcon
November 29, 2025

Homeless but never forgotten, Elliot Scott Cohen found unexpected family in Placerville. His story—spanning childhood joy, military service, mental illness,...

Remembering Gregory Dean Marquardt: Beloved Garden Valley Resident and Red Hawk Pit Boss Dies at 61

Remembering Gregory Dean Marquardt: Beloved Garden Valley Resident and Red Hawk Pit Boss Dies at 61

by Cris Alarcon
June 26, 2025

Greg Marquardt didn’t wait for “the right time”—he lived boldly, laughed loudly, and led with heart. A true friend and...

The Lobe Not Taken: Choosing a Life Beyond Epilepsy

The Lobe Not Taken: Choosing a Life Beyond Epilepsy

by Cris Alarcon
April 16, 2025

An Unflinching Memoir of Seizures, Silence, and the Power of Refusing to Conform

Recommended

Truckee Skier Aspen McAuley Wins National Title, Makes Program History at Collegiate Championships

Truckee Skier Aspen McAuley Wins National Title, Makes Program History at Collegiate Championships

April 17, 2026
Fighter Jets Roar Over El Dorado County: Beale AFB T-38 Training Flights Likely Behind Afternoon Flyover

Fighter Jets Roar Over El Dorado County: Beale AFB T-38 Training Flights Likely Behind Afternoon Flyover

March 3, 2026

Popular Story

  • Placerville Man Arrested for Shooting left another man injured

    El Dorado County Sheriff Blotter: Dead Person Report, Domestic Violence Calls and Arrests Shake County

    739 shares
    Share 296 Tweet 185
  • Money, Networks and Influence: What the Treasurer-Tax Collector Race Reveals About Power in El Dorado County

    733 shares
    Share 293 Tweet 183
  • El Dorado County Sheriff’s Log: Domestic Violence, Death Investigations and Disturbances Fill Monday Scanner

    786 shares
    Share 314 Tweet 197
  • Campground Calls, Store Aisle Thefts and Midnight Disturbances Crowd EDSO Activity Log

    658 shares
    Share 263 Tweet 165
  • El Dorado County Sheriff’s Blotter — May 22, 2026

    656 shares
    Share 262 Tweet 164
  • Buy JNews
  • Support Forum
  • Pre-sale Question
  • Contact Us

© 2023 Placerville Newswire Commentary is produced by the Placerville Newswire, a private service focusing on Placerville Local Area issues. All conclusions expressed in this publication should be understood to be solely those of the author(s). You may find us in El Dorado County Placerville, CA 95667

Welcome Back!

Login to your account below

Forgotten Password? Sign Up

Create New Account!

Fill the forms below to register

All fields are required. Log In

Retrieve your password

Please enter your username or email address to reset your password.

Log In
No Result
View All Result
  • Landing Page
  • Buy JNews
  • Support Forum
  • Pre-sale Question
  • Contact Us

© 2023 Placerville Newswire Commentary is produced by the Placerville Newswire, a private service focusing on Placerville Local Area issues. All conclusions expressed in this publication should be understood to be solely those of the author(s). You may find us in El Dorado County Placerville, CA 95667